آخر الأخبار
  جاموس: كنا الأفضل في كأس العرب لكن تفاصيل صغيرة حرمتنا من اللقب   المومني اشاعات متعلقة ببمدينة عمرة الجديدة .. تهدف للتشويش   "المفوضية": توقعات بعودة 75 ألف سوري لبلدهم من المملكة في 2026   توافقات أردنية مصرية لتسريع عبور الشاحنات ودعم الترانزيت   الجامعة الأردنيّة تحتلّ المركز الرابع عربيًّا والأولى محليًّا في تصنيف الجامعات العربيّة 2025   مصدر: لا ملكيات شخصية في أراضي عمرة .. وجميعها لخزينة الدولة   فيدان: نتوقع بدء المرحلة الثانية من اتفاق غزة مطلع 2026   محمد الشاكر يوضح حول العواصف الثلجية نهاية العام   الدكتور منذر الحوارات: دراسة اقتصادية تظهر أن كل دينار يُحصّل من منتجات التبغ يقابله 3-5 دنانير كلفة صحية لاحقة   خلال تصريحات تلفزيونية .. المدرب جمال سلامي يتغزل بمهاجم النشامى يزن النعيمات   مسودة نظام الناطقين الإعلاميين في الوزارات والمؤسسات والدوائر الحكومية لسنة 2025   النائب ابراهيم الطراونة: الاردنيين نسيوا همومهم ومشكلاتهم في لحظات تشجيع المنتخب الوطني، حيث تجاوزوا خلافاتهم ورفعوا عنوانًا واحد هو الأردن   بعد سؤال للنائب خالد أبو حسان .. وزير الشؤون السياسية والبرلمانية العودات يوضح حول "أمانة عمان"   وزير العمل للشباب: الأجور ترتفع كلما زادات مهاراتكم   مذكرات تبليغ قضائية ومواعيد جلسات متهمين (أسماء)   العرموطي: الأولى تخفيض ضريبة الكاز للفقراء وليس السجائر والتبغ   نائب أردني: السفير الأمريكي ما ضل غير يصير يعطي عرايس   النقد الدولي: الضمان الاجتماعي تشهد تراجعًا تدريجيًا رغم الفوائض المالية   وزارة الطاقة توضح بشأن اتفاقية تعدين النحاس في منطقة أبو خشيبة   الديوان الملكي ينشر صورة من اجتماع للملك بالعيسوي
عـاجـل :

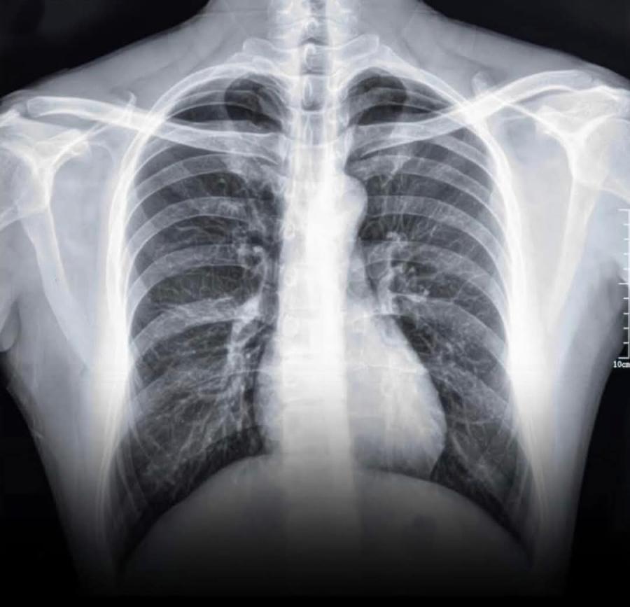
شاهد ماذا فعلت السيجارة الإلكترونية برئة فتى أردني .. صورة

{clean_title}
وجّهت طبيبة أردنية تحذيرًا شديد اللهجة إلى الأهالي والمراهقين من مخاطر استخدام أجهزة التدخين الإلكتروني "Vape"، وذلك بعد أن نشرت صورة صادمة تُظهر رئة متليّفة لشاب يبلغ من العمر 16 عامًا، تعرّض لمضاعفات خطيرة بعد عام واحد فقط من استخدام هذه الأجهزة بشكل سري.


وقالت الطبيبة في منشورها: "هاي صورة رئة شاب عمره 16 سنة، كان يستخدم الـVape من ورا أهله.. سنة وحدة بس، كانت كافية تتسبّب بتليّف دائم في الرئة. اليوم، عايش على الأوكسجين ليل نهار، بياخد الاسطوانة معاه على المدرسة، وممنوع يلعب رياضة أو يعيش حياته طبيعي."



وأشارت إلى أن الحالة الطبية التي أصيب بها المراهق تُعرف علميًا باسم "Popcorn Lung" أو Bronchiolitis Obliterans، وهي حالة مرضية نادرة ولكنها خطيرة، تُسبب تلفًا دائمًا في الشعب الهوائية الدقيقة داخل الرئة، ولا يوجد لها علاج يعيد الرئة إلى حالتها الطبيعية.



وختمت الطبيبة رسالتها بنداء إنساني قائلة: "رجاءً، انتبهوا لحالكم ولولادكم."




ويأتي هذا التحذير في وقت تتزايد فيه حالات استخدام السجائر الإلكترونية بين فئة المراهقين في الأردن، وسط غياب رقابة صارمة ووعي كافٍ بمخاطرها الصحية الجسيمة.